ご縁ある皆様を、家族のごとく親身になって・・・

診療詳細

HOME | 診療詳細
ken5_20200430150349094.jpg haita.jpg chi.jpg

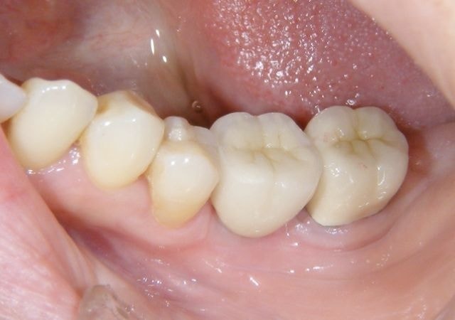
歯科・小児歯科

当院は、お子様からご年配の方まで、幅広い年齢の方々へ対応しております。
少しでもリラックスして治療を受けていただけるよう、コミュニケーションを大切にし、心配りをしております。
 
定期検診を基本に、早期発見・早期治療をめざし、大切な歯を失うことのないメンテナンス、治療を提供しております。


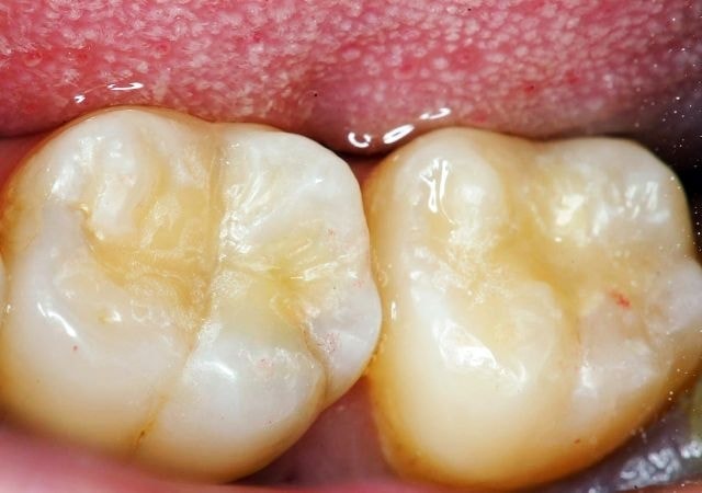
定期検診・クリーニング

定期検診
当院では定期健診による、早期発見、早期治療、を推進しております。
定期健診を受けることにより、虫歯だけではなく、歯周病など歯茎のトラブルも早期発見、早期治療が可能です。
いつまでもご自身の歯で食事を摂り快適な生活を送るため、定期的に検診を受けましょう。
 
PMTC(クリーニング)
専門のトレーニングを受けた衛生士が、専用の器具を使って行う口腔内清掃です。
歯石、プラークはもちろんのこと、歯ブラシだけでは取れないバイオフィルムや、自分では取れないすき間に残った汚れを徹底的に除去します。
定期的にクリーニングを受けることにより、口腔内環境は良い状態に保たれます。

 
chiryo2.jpg cyo_(2).jpg pmt_20200602185409600.jpg
chiryo2.jpg cyo_(2).jpg pmt_20200602185409600.jpg

定期検診・クリーニング

定期検診
当院では定期健診による、早期発見、早期治療、を推進しております。
定期健診を受けることにより、虫歯だけではなく、歯周病など歯茎のトラブルも早期発見、早期治療が可能です。
いつまでもご自身の歯で食事を摂り快適な生活を送るため、定期的に検診を受けましょう。
 
PMTC(クリーニング)
専門のトレーニングを受けた衛生士が、専用の器具を使って行う口腔内清掃です。
歯石、プラークはもちろんのこと、歯ブラシだけでは取れないバイオフィルムや、自分では取れないすき間に残った汚れを徹底的に除去します。
定期的にクリーニングを受けることにより、口腔内環境は良い状態に保たれます。


tio10.jpg whi1.jpg whit.jpg kire2.png

ホワイトニング

白い歯は清潔感があり、年齢も若く見えるほどの好印象を与えます!
マウスピースを使い、歯を薬品で浸して美白くするのがホワイトニングです。
美白剤の主成分は過酸化水素で、消毒薬のオキシドールとして知られています。
 
喫煙やコーヒー等の飲用による変色、老化、遺伝による黄ばみにも優れた効果があります。
ご自宅にて、お好きな時間に行っていただくことができます。
是非、お試しください!


cera_(2).jpg fc_(3).jpg c9.jpg c10.jpg

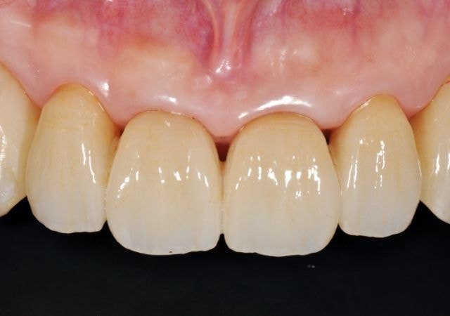
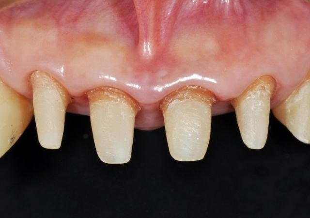
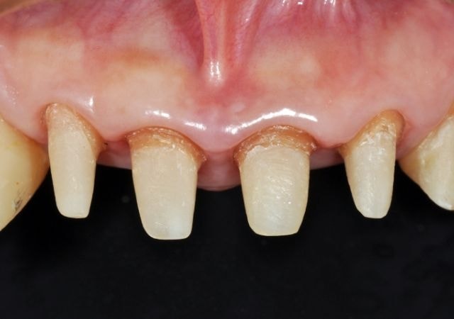
オールセラミック

内外共にセラミック素材で製作したもので、天然歯に近い自然な感じで見た目もよいです。
被せもの全体がガラス(ニケイ酸リチウムガラスセラミック)を主成分にしたセラミックにて出来ているもので、とても透明感が高く色調もきれいです。
本来の天然歯と同じか、それ以上の色調・形態を再現します。
金属を使用しないため金属アレルギーの心配はいりません。
・強度に優れているため、噛み合わせの強い方や、くいしばり・歯ぎしりをする方に有効
・非常に見た目が良く、ほとんど変色しない
・汚れ(プラーク)が付きにくい
・歯と分子レベルで強固に接着するため、治療した部分から虫歯になりにくい
・価格がジルコニアセラミックより安い

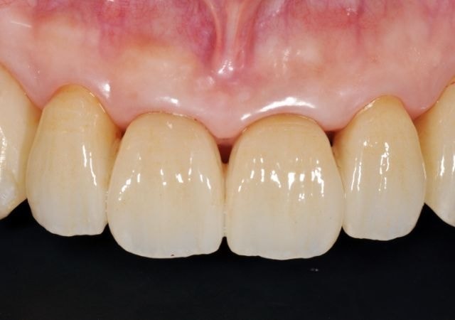
オールセラミック

内外共にセラミック素材で製作したもので、天然歯に近い自然な感じで見た目もよいです。
被せもの全体がガラス(ニケイ酸リチウムガラスセラミック)を主成分にしたセラミックにて出来ているもので、とても透明感が高く色調もきれいです。
本来の天然歯と同じか、それ以上の色調・形態を再現します。
金属を使用しないため金属アレルギーの心配はいりません。
・強度に優れているため、噛み合わせの強い方や、くいしばり・歯ぎしりをする方に有効
・非常に見た目が良く、ほとんど変色しない
・汚れ(プラーク)が付きにくい
・歯と分子レベルで強固に接着するため、治療した部分から虫歯になりにくい
・価格がジルコニアセラミックより安い

cera_(2).jpg fc_(3).jpg c9.jpg c10.jpg

ジルコニアクラウン

hc4.jpg hc2.jpg
銀歯を低価格で白い歯に!
最新鋭のコンピュータ機器(CAD/CAM)を使い、ジルコニアのブロックを削りだして作り上げる歯です。
デジタル化を根本として合理化により、オールセラミックスに比べ低価格で提供出来ます。
大笑いすると下の歯は丸見えで、銀歯は目立ちます!
アレルギーもなく、審美性の高い白い歯に!

ハイブリッドセラミック

em3.jpg in.jpg img20200429231110694790.jpg cru.jpg cru1.jpg
セラミック(陶器)の粒子と、レジン(プラスチック)を混ぜ合わせて作ったものです。
セラミックよりもやわらかく、対合歯にも優しいというメリットがありますが、色調は多少劣り、唾液を吸収し、経年的に変色します。
・色が白いので見た目が良い。
・硬すぎず、適度にすり減るので周囲の歯を傷めにくい。
・金属を使用していないので、金属アレルギーが起こらない。
・割れても修理しやすい。

メタルボンド

mb.jpg mb1.jpg mb4_20201017220309431.jpg
メタルボンドとは、中身は金属で、外から見える部分にのみセラミック等を貼り付けたクラウン(被せ物、差し歯)です。
見た目がよく、セラミックの場合は変色せず、強度も強いので非常によく使用されます。
・色が歯に似ているので見た目が良い。
・中身が金属なので強度が強く、ほとんどの部位に使用できる。
・中の金属に貴金属を使用することで、金属が溶け出すことによる歯ぐきの変色、金属アレルギーなどが起こる可能性を低くすることができる。

コンポジッドレジン

cr.jpg cr1.jpg g1.jpg g.jpg
修復用コンポジットレジン。
本物の歯に近い質感・色調・舌触りを可能にした歯の修復材です。
天然歯と同じような修復が可能です。


den18.jpg den1_(3).jpg kou.jpg

義歯・入れ歯

内外共にセラミック素材で製作したもので、天然歯に近い自然な感じで見た目もよいです。
被せもの全体がガラス(ニケイ酸リチウムガラスセラミック)を主成分にしたセラミックにて出来ているもので、とても透明感が高く色調もきれいです。
本来の天然歯と同じか、それ以上の色調・形態を再現します。
金属を使用しないため金属アレルギーの心配はいりません。
・強度に優れているため、噛み合わせの強い方や、くいしばり・歯ぎしりをする方に有効
・非常に見た目が良く、ほとんど変色しない
・汚れ(プラーク)が付きにくい
・歯と分子レベルで強固に接着するため、治療した部分から虫歯になりにくい
・価格がジルコニアセラミックより安い

den18.jpg den1_(3).jpg kou.jpg

義歯・入れ歯

内外共にセラミック素材で製作したもので、天然歯に近い自然な感じで見た目もよいです。
被せもの全体がガラス(ニケイ酸リチウムガラスセラミック)を主成分にしたセラミックにて出来ているもので、とても透明感が高く色調もきれいです。
本来の天然歯と同じか、それ以上の色調・形態を再現します。
金属を使用しないため金属アレルギーの心配はいりません。
・強度に優れているため、噛み合わせの強い方や、くいしばり・歯ぎしりをする方に有効
・非常に見た目が良く、ほとんど変色しない
・汚れ(プラーク)が付きにくい
・歯と分子レベルで強固に接着するため、治療した部分から虫歯になりにくい
・価格がジルコニアセラミックより安い

保険対応の入れ歯

ire7.jpg ire11.jpg de1_(3).jpg
保険の入れ歯は使う材料の種類が限られているため、場合によっては残っている歯の色、形とのバランスが悪くなることがあります。
留め金があり、残っている歯を取り囲むようにして入れ歯を固定するため、
歯の状態によっては、笑ったときに見えたり、多少口の中で違和感があります。
樹脂製の義歯は割れやすいので、かなり厚くなっています。
また、熱を伝えにくい材質なので、食べ物の温度、味覚が感じにくくなります。

バネの無い入れ歯

ire21_20201017231537781.jpg sm4.jpg sm11_20201017231521811.jpg
審美性を追及したバネの無い入れ歯です。
入れ歯と気づかれにくく、思い切り笑っていただくことができます。
吸水性が低いので表面に雑菌が付きづらくなり臭いにくく、人体へのなじみも良いです。
また、金属アレルギーの心配もなく、快適で自然な審美性の高い入れ歯です。

金属床

kin1.jpg kin2.jpg den8.jpg
フレームに金属を使用し、薄くて軽く、強度に優れ、密着性や装着感の高い義歯です。
金属は熱伝導率が高く、味覚のひとつである食べ物の温度が瞬時に伝わるため、食感も楽しむことができます。雑菌や汚れも付着しにくく衛生的にも優れた入れ歯です。
軽くて丈夫、生体親和性の高いチタンやコバルト等を用いた義歯を提供しております。

コンフォート

fcom.jpg comf4_20201017235535380.jpg
コンフォートは、硬い入れ歯の裏面を生体用シリコーンというクッションで覆い、その弾性で、グッと噛んだときの歯ぐきにかかる負担をやわらげ、驚くほどの吸着力を発揮。
「痛い・噛めない・外れやすい」といった、従来の入れ歯の悩みを解消するとともに、あなたの歯ぐきをやさしく守ります。
「咬む力が2倍に!」
生体用シリコーンの柔軟性が痛みを緩和し、以前よりしっかりと噛めるようになります。
 


imp4.jpg imp15.jpg imp3.jpg im2.jpg im4_(2).jpg

インプラント

インプラントとは、顎の骨に人工歯根となる金属を埋め込み、その金属を土台にして、天然の歯と同じような人工の歯を取り付ける治療方法です。
埋め込む金属に生体との親和性が高いチタンが使われる事が多く、チタンは長年の臨床研究でインプラントの素材として最も安全であり、また顎の骨としっかり結合することが確認されています。
天然歯のような見栄えだけでなく、これまでの入れ歯やブリッジでは満足することが難しかった「食べる・話す」という機能も回復できます。
インプラントは周りの歯を傷つけず、残った歯への影響が少ないため、自分の歯を多く残せます。
食べ物のカスが挟まったり、留め金が見えるといったこともなく、衛生面や見た目も、自分の歯と同じようにきれいで美しい状態を保てます。
 

インプラント

インプラントとは、顎の骨に人工歯根となる金属を埋め込み、その金属を土台にして、天然の歯と同じような人工の歯を取り付ける治療方法です。
埋め込む金属に生体との親和性が高いチタンが使われる事が多く、チタンは長年の臨床研究でインプラントの素材として最も安全であり、また顎の骨としっかり結合することが確認されています。
天然歯のような見栄えだけでなく、これまでの入れ歯やブリッジでは満足することが難しかった「食べる・話す」という機能も回復できます。
インプラントは周りの歯を傷つけず、残った歯への影響が少ないため、自分の歯を多く残せます。
食べ物のカスが挟まったり、留め金が見えるといったこともなく、衛生面や見た目も、自分の歯と同じようにきれいで美しい状態を保てます。
 
当院にて採用しているストローマンの詳細です。

imp4.jpg imp15.jpg imp3.jpg im2.jpg im4_(2).jpg

asa1.jpg as3_20201208221212957.jpg aso1.jpg

マウスピース矯正

当院では、マウスピースによる矯正治療を行っております。
マウスピースは透明で取り外しが可能なマウスピースを順次装着することで、きれいな歯並びへと変化を遂げていきます。
マウスピースは約2週間ごとに新しいものに変換します。
少しずつ歯が移動するにつれて、理想的な口元となります。


セルフケア

当院では、様々な衛生用品をご用意し、皆様がご自宅で良好な口腔内環境を維持するためのセルフケアのご案内をしております。
歯科で用意する本格的なケア用品をご自宅で是非お試し下さい。

セルフケア

当院では、様々な衛生用品をご用意し、皆様がご自宅で良好な口腔内環境を維持するためのセルフケアのご案内をしております。
歯科で用意する本格的なケア用品をご自宅で是非お試し下さい。